Bị nấm candida có sao không là câu hỏi được nhiều người quan tâm, đặc biệt là nữ giới. Đây là một tình trạng nhiễm nấm thường gặp, nhưng nếu không được phát hiện và điều trị kịp thời có thể gây ảnh hưởng nghiêm trọng đến sức khỏe và sinh hoạt hằng ngày.
Bị nấm candida có sao không?
Nhiễm nấm candida là tình trạng phổ biến do loại nấm men có tên Candida albicans gây ra. Đây là một loại nấm sống ký sinh tự nhiên trong cơ thể người, đặc biệt ở da, miệng, ruột và âm đạo. Tuy nhiên, khi môi trường cân bằng bị phá vỡ, nấm candida có thể phát triển mạnh và gây ra nhiều vấn đề sức khỏe nghiêm trọng. Vậy bị nấm candida có sao không?
Thực tế, nếu không được phát hiện và điều trị đúng cách, nấm candida có thể gây ra nhiều biến chứng. Ở mức độ nhẹ, người bệnh thường gặp tình trạng ngứa ngáy, khó chịu hoặc viêm nhiễm. Nhưng nếu để lâu, nấm có thể lan rộng, làm tổn thương mô, tái phát nhiều lần và ảnh hưởng nghiêm trọng đến chất lượng cuộc sống, thậm chí gây nhiễm trùng huyết nếu nấm xâm nhập vào máu ở những người có hệ miễn dịch yếu.
Đặc biệt ở phụ nữ, nấm candida gây viêm âm đạo tái phát nhiều lần, ảnh hưởng đến khả năng sinh sản và sinh hoạt vợ chồng. Ở nam giới, nấm có thể gây viêm bao quy đầu và lây lan qua đường tình dục. Với trẻ sơ sinh, nấm có thể gây tưa miệng hoặc hăm tã nghiêm trọng. Vì vậy, bị nấm candida có sao không còn phụ thuộc vào mức độ tổn thương và khả năng điều trị kịp thời.

Triệu chứng khi bị nấm candida
Các dấu hiệu nhiễm nấm candida rất dễ nhận biết nhưng cũng dễ nhầm lẫn với các bệnh lý khác. Tùy theo vị trí bị nhiễm, triệu chứng có thể khác nhau:
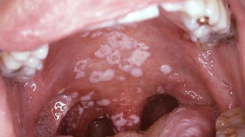
Nấm candida ở miệng (tưa miệng):
- Xuất hiện mảng trắng như sữa bám trên lưỡi, má trong, vòm miệng
- Cảm giác đau rát, khó nuốt, miệng khô
- Hơi thở có mùi hôi khó chịu
Nấm candida ở da và móng:
- Vùng da nhiễm có thể bị ngứa, nổi mẩn đỏ, tróc vảy, chảy dịch
- Móng bị vàng, dễ gãy hoặc bong tróc
Nấm candida vùng kín nữ:
- Ngứa rát âm đạo, đặc biệt sau khi quan hệ
- Khí hư đặc như bã đậu, màu trắng
- Có mùi hôi nhẹ hoặc không mùi nhưng gây khó chịu
- Cảm giác nóng rát khi đi tiểu
Nấm candida vùng kín nam:
- Ngứa ngáy, đỏ tấy ở đầu dương vật
- Có mảng trắng hoặc dịch tiết trắng
- Đau khi quan hệ hoặc tiểu tiện
Nấm candida trong hệ tiêu hóa:
- Đầy hơi, tiêu chảy, táo bón kéo dài không rõ nguyên nhân
- Mệt mỏi, chán ăn, suy nhược cơ thể
Nhận biết các triệu chứng trên là bước đầu giúp bạn chủ động phòng ngừa và điều trị kịp thời, tránh để tình trạng trở nên trầm trọng hơn.

Tham khảo ngay: Bị mối cắn có sao không và cách xử lý đúng cách
Mẹo và biện pháp chữa trị khi bị nấm candida
Nếu bạn đang thắc mắc bị nấm candida có sao không, thì câu trả lời sẽ phụ thuộc nhiều vào cách bạn xử lý khi phát hiện bệnh. Dưới đây là một số mẹo và biện pháp hỗ trợ điều trị hiệu quả:
- Vệ sinh đúng cách
Giữ vệ sinh vùng kín, miệng, da sạch sẽ và khô thoáng là yếu tố quan trọng để ngăn nấm phát triển. Dùng dung dịch vệ sinh nhẹ, không chứa hóa chất mạnh, tránh thụt rửa sâu âm đạo hoặc dùng xà phòng kháng khuẩn quá mức vì có thể làm mất cân bằng pH tự nhiên.
- Điều chỉnh chế độ ăn uống
Candida phát triển mạnh khi bạn tiêu thụ quá nhiều đường và tinh bột. Hạn chế đồ ngọt, thực phẩm chế biến sẵn, rượu bia và các chất kích thích. Ưu tiên rau xanh, sữa chua chứa probiotic, tỏi, gừng, nghệ và các thực phẩm hỗ trợ tăng cường miễn dịch.
- Sử dụng thuốc kháng nấm
Việc điều trị cần có sự chỉ định của bác sĩ. Một số thuốc phổ biến bao gồm:
- Thuốc uống như fluconazole
- Thuốc bôi tại chỗ như clotrimazole, miconazole
- Thuốc đặt âm đạo (đối với nữ)
- Mẹo dân gian hỗ trợ
- Dùng nước muối ấm súc miệng khi bị nấm ở lưỡi
- Rửa vùng kín bằng nước lá trầu không, chè xanh (đun sôi, để nguội)
- Bôi dầu dừa nguyên chất lên vùng da bị nấm nhẹ
Lưu ý rằng mẹo dân gian chỉ mang tính hỗ trợ, không thể thay thế hoàn toàn thuốc điều trị. Nếu tình trạng kéo dài hoặc tái phát, bạn nên thăm khám sớm để có phác đồ điều trị phù hợp.

- Tăng cường sức đề kháng
Người có hệ miễn dịch kém sẽ dễ bị tái nhiễm. Do đó, cần bổ sung vitamin C, D, B-complex, ngủ đủ giấc, tập luyện thể thao thường xuyên và tránh căng thẳng kéo dài.
Tham khảo ngay: Bị hạt ngọc có sao không và cách xử lý hiệu quả
Vậy bị nấm candida có sao không? Câu trả lời là có, nếu để kéo dài có thể gây nhiều biến chứng nguy hiểm. Hãy chủ động chăm sóc sức khỏe, giữ vệ sinh vùng kín sạch sẽ và thăm khám kịp thời để tránh những hậu quả không mong muốn từ loại nấm này.